El diciembre de 2023, Paulina Peña Pretelini , hija del ex presidente de México Enrique Peña Nieto, enfrentó uno de sus máximos desafíos cuando fue a dar al hospital tras lesionarse el tendón de Aquiles.
El reporte de salud de Paulina Peña tras sufrir una fractura

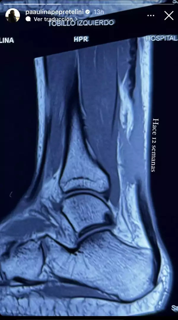
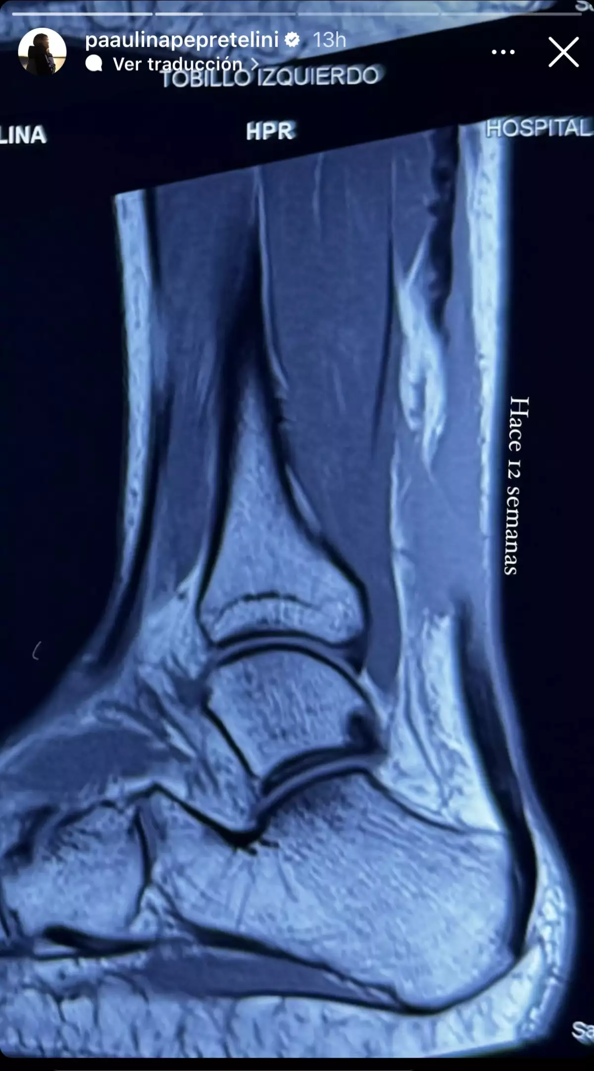
Paulina Peña se fracturó el telón de Aquiles
A través de sus redes sociales la influencer dio a conocer la noticia que para ese momento la tenía deprimida y angustiada ante lo que se visualizaba como una prolongada recuperación derivada de esta fractura.

“Hace tres semanas terminé en quirófano porque me rompí el tendón de Aquiles. Más allá del dolor, el sonido de cuando se rompe es terrible”, escribió en enero pasado en una sincera revelación con las imágenes y un video de lo que le había sucedido.
Aquella vez explicó que se sometía a sesiones de fisioterapia y hacía ejercicios para recuperar poco a poco la movilidad de su pie. La experiencia, hasta ese momento, estaba siendo "gran aventura", decía.
No dejes de leer:
Después destacaba la importancia de los médicos que la operaron y que le estaban ayudando en su rehabilitación para volver a caminar.

Paulina Peña se recupera tras varias semanas en rehabilitación
“Maravillosos doctores he conocido en este camino y solo estoy agradecida y muy ansiosa por caminar otra vez. Te hace valorar cada paso que uno da por hecho cada día”, reflexionaba Paulina en su Instagram.

Ahora, dos meses después, parece ser que su recuperación continúa en evolución y su ánimo también. Paulina Peña está contenta porque a través de sus stories mostró como hace 12 semanas se veía la radiografía de su tobillo izquierdo y hoy parece ser que ya se encuentra mejor, incluso hasta podría bailar. Se entiende así por el emoji de aplauso que puso y al lado uno de bailarín.

Paulina Peña celebra 9 años junto a Fernando Tena
A la par de esta celebración, la empresaria también festeja el noveno aniversario del inicio de su relación amorosa con Fernando Tena, con quien se casó de manera privada el 10 de septiembre de 2022 en el Estado de México y semanas después realizó otra ceremonia en Madrid, España, donde vive su papá.
Lo hizo mediante la publicación del video de ambos en la playa mirando hacia el horizonte. “Constantemente, constantemente, constantemente tú”. Niños de 9 años… 9 #SUMDV”, anotó en su mensaje.
Desde Quién los felicitamos y deseamos que su relación continúe viento en popa con base en el amor, la comunicación y el respeto.